MERSİN (AA) - Tarsus ilçesinde yaşayan İbrahim ve Sibel Işık çiftinin 3 yaşındaki oğulları Mehmet Efe'nin oyun oynarken yuttuğu ve yemek borusunu yakan 3,5 santimetre çapındaki pil, endoskopik yöntemle çıkarıldı.
Tarsus'taki özel bir hastaneden yapılan yazılı açıklamaya göre, Mehmet Efe Işık, evde oyun oynarken baskülün 3,5 santimetre çapında 2 milimetre kalındığındaki pilini yuttu.
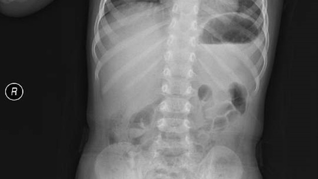
Küçük çocuğun annesine pil yuttuğunu söylemesi üzerine ailesi hastaneye başvurdu. Acil serviste ilk müdahalesi yapılan ve filmi çekilen Mehmet Efe, Çocuk Cerrahisi Uzmanı Yrd. Doç. Dr. Cemal Parlakgümüş tarafından muayene edildi. Röntgen filmindeki görüntüde pilin yemek borusunda 20 santimetre ilerleyip takıldığını belirleyen Parlakgümüş, minik çocuğu Gastroenteroloji Uzmanı Hüseyin Sancar Bozkurt'a yönlendirdi.
Bozkurt, küçük çocuğun yemek borusunu endoskopik yöntemle incelediğinde, pilin çevresindeki dokuyu yakarak hasar verdiğini gördü.
Endoskopik yöntemle yarım saatlik bir çalışmayla yerinden çıkarılan pilin, yemek borusu dokusunu yaktığı için etrafının karardığı görüldü.
Mehmet Efe, hastanede 4 gün tedavi gördükten sonra, yeme içme fonksiyonlarının yerine gelmesiyle taburcu edildi.
Bozkurt, olayla ilgili yaptığı açıklamada, küçük çocuklarda pil yutma vakalarına zaman zaman rastlandığını ancak bu olayda çocuğun yemek borusunun yandığını belirtti.














