HaberTAM
MENÜ
Güncel
Dünya
Ekonomi
Seyahat
Magazin
Spor
Foto Galeri
Video Galeri
Yazarlar
MENÜ
Haber Ara
Politika
Türkiye
Teknoloji
Sağlık
Kültür-Sanat
Eğitim
Yaşam
BIST 100
8.828
DOLAR
34,28
EURO
37,18
ALTIN
3.005,56
İstanbul
Ankara
İzmir
Adana
Adıyaman
Afyonkarahisar
Ağrı
Amasya
Antalya
Artvin
Aydın
Balıkesir
Bilecik
Bingöl
Bitlis
Bolu
Burdur
Bursa
Çanakkale
Çankırı
Çorum
Denizli
Diyarbakır
Edirne
Elazığ
Erzincan
Erzurum
Eskişehir
Gaziantep
Giresun
Gümüşhane
Hakkari
Hatay
Isparta
Mersin
Kars
Kastamonu
Kayseri
Kırklareli
Kırşehir
Kocaeli
Konya
Kütahya
Malatya
Manisa
Kahramanmaraş
Mardin
Muğla
Muş
Nevşehir
Niğde
Ordu
Rize
Sakarya
Samsun
Siirt
Sinop
Sivas
Tekirdağ
Tokat
Trabzon
Tunceli
Şanlıurfa
Uşak
Van
Yozgat
Zonguldak
Aksaray
Bayburt
Karaman
Kırıkkale
Batman
Şırnak
Bartın
Ardahan
Iğdır
Yalova
Karabük
Kilis
Osmaniye
Düzce
17
°c
Haber Ara
Miryokefalon Savaşı 840. Yıl Kutlama Etkinlikleri
AK Parti Genel Başkan Yardımcısı Ahmet Sorgun, "Türkiye'nin şu anda ...
FETÖ yargı kararları iptal edilsin
Batman'da bazı tutuklu ve hükümlü yakınlarının oluşturduğu "28 Şubat-FETÖ Mağduru ...
DAEŞ'in ayırdığı aileleri Fırat Kalkanı birleştirdi
Terör örgütü DAEŞ'in, Halep'in kuzeyindeki bölgeleri ele geçirmesiyle ayırdığı aileler, ...
TSK 12 teröristin etkisiz hale getirildiğini açıkladı
Türk Silahlı Kuvvetlerince, Hakkari'nin Çukurca ilçesi kırsalına düzenlenen hava harekatında, ...
Fırat Kalkanı Harekatı'nda şehit olan astsubay Koşan Bingöl'de...
Fırat Kalkanı Harekatı'nda, terör örgütü DAEŞ unsurlarınca düzenlenen saldırıda şehit ...
Hava Kuvvetlerine dönmek isteyen pilotlardan ilk başvuru geldi
Hava Kuvvetleri Komutanlığının internet sitesinde yer alan açıklamaya göre, daha ...
Bakanlar Kurulu Cumhurbaşkanlığı Külliyesi'de toplandı
Bakanlar Kurulu, Fetullahçı Terör Örgütü'nün (FETÖ) 15 Temmuz'daki darbe girişiminin ...
Samsun'da bir besici kurbanlıklara arabesk dinletiyor
Samsun'da bir besici, kurban pazarında satışa sunduğu hayvanlarına, sakinleştirdiğine inandığı ...
FETÖ'nün darbe girişimine ilişkin soruşturma
KOCAELİ (AA) - Kocaeli'de, Fetullahçı Terör Örgütü'nün (FETÖ) darbe girişimine ...
FETÖ'nün darbe girişimine ilişkin soruşturma
BATMAN (AA) - Batman'da, Fethullahçı Terör Örgütü'nün (FETÖ) darbe girişimiyle ...
Van'daki terör saldırısı
VAN (AA) - Van’da 17 Ağustos'ta İki Nisan Polis Karakolu ...
Fazıl Say beraat etti
Dünyaca ünlü piyanist Fazıl Say, "Halkın bir kesiminin benimsediği dini ...
Konya'da boş arazide ceset bulunması
KONYA (AA) - Konya'da boş arazide cesedi bulunan kişinin, arkadaşı ...
Mardin'deki terör saldırısı
OSMANİYE (AA) - Mardin'in Dargeçit ilçesinde PKK'lı teröristlerin saldırısı ...
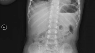
Yuttuğu pil yemek borusunu yaktı
MERSİN (AA) - Tarsus ilçesinde yaşayan İbrahim ve Sibel Işık ...
«
2273
2274
2275
2276
2277
2278
2279
2280
2281
2282
»
Ana Sayfa
Foto Galeri
Video Galeri
Yazarlar
Gazete Manşetleri
KATEGORİLER
Güncel
Dünya
Ekonomi
Politika
Seyahat
Magazin
Spor
Türkiye
Teknoloji
Sağlık
Kültür-Sanat
Eğitim
Yaşam